Docteurs Junien Dessus & Caroline Balazard
Chirurgiens-dentistes Omnipratique, Implantologie et Orthodontie adulte
Accueil
Cabinet
L'équipe du cabinet
Dr Junien Dessus
Dr Caroline Balazard
Les assistantes
Nos pratiques
Nos pratiques
Cas cliniques
Accès & infos
Fiches Conseils
Nos vidéos
Urgences dentaire
Prendre RDV
Docteur DESSUS
Docteur BALAZARD
CONTACT
Accueil
Cabinet
L'équipe du cabinet
Dr Junien Dessus
Dr Caroline Balazard
Les assistantes
Nos pratiques
Nos pratiques
Cas cliniques
Accès & infos
Fiches Conseils
Nos vidéos
Urgences dentaire
Prendre RDV
Docteur DESSUS
Docteur BALAZARD
CONTACT
Docteurs Junien Dessus & Caroline Balazard
Chirurgiens-dentistes
Omnipratique, Implantologie et Orthodontie adulte
36 rue Saint Paul
75004
Paris
+33 1 48 87 19 55
+33 1 71 20 61 64
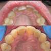
Cas cliniques
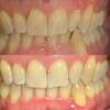
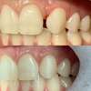
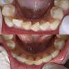
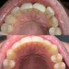
CAS D'ALIGNEMENT DENTAIRE
CAS CLINIQUES AUTRES
Docteurs Junien Dessus & Caroline Balazard
36 rue Saint Paul
75004
Paris
+33 1 71 20 61 64
+33 1 48 87 19 55
Liens juridiques
Politique de confidentialité et charte cookie
Mentions légales
Conditions Générales Utilisation
Charte déontologique
Ordre national
Annuaires chirurgiens dentistes
Recherche
Nous contacter
36 rue Saint Paul
75004
Paris
+33 1 71 20 61 64
+33 1 48 87 19 55
Fiches conseils
QU'EST-CE QU'UN IMPLANT ? INDICATIONS ET CONTRE-INDICATIONS
LA POSE D'IMPLANTS DENTAIRES
LES PROTHÈSES DENTAIRES SUR IMPLANTS
Création par
Connexion